Skip to main content
Neuroanatomía
Abordajes Quirúrgicos
Casos Quirúrgicos
Suscribirse
Inicie Sesión
Síganos
LinkedIn
Instagram
Español
Español
English
Suscríbase
Inicie sesión
Neuroanatomía
Abordajes Quirúrgicos
Casos Quirúrgicos
Misión
Directores
Síganos
Instagram
LinkedIn
Subscríbase
Inicie sesión
Casos Quirúrgicos
Últimos videos
Meningioma Clinoideo Anterior
Ver video
Aneurisma Comunicante Anterior
Ver video
Aneurisma Comunicante Anterior
Ver video
Aneurisma Arteria Cerebral Medial Derecha
Ver video
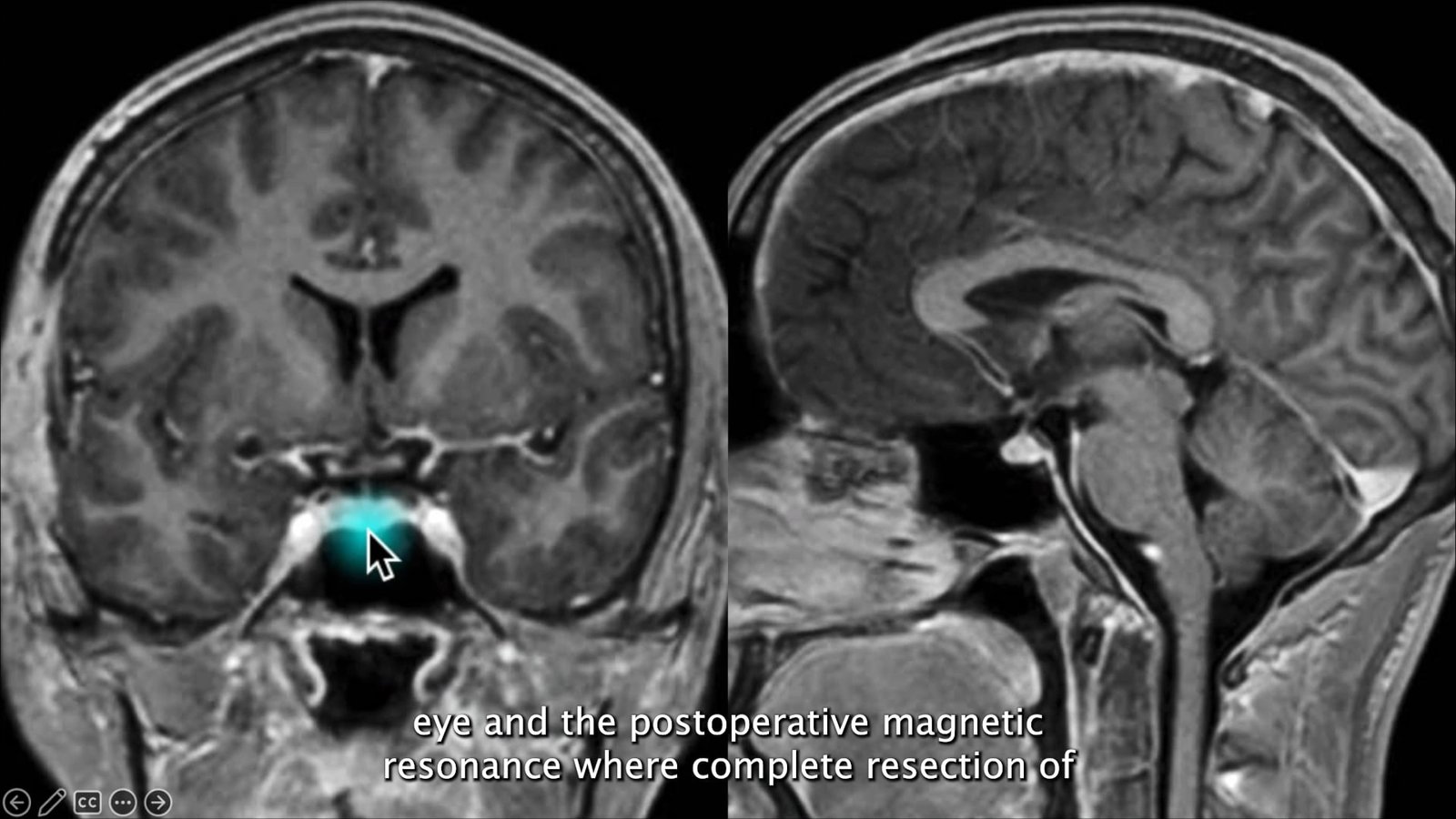
Craneofaringioma
Ver video
Aneurisma A1 Derecho
Ver video
Casos Quirúrgicos
Adenoma de Hipofisis - Acromegalia
Ver
Casos Quirúrgicos
Adenoma de Hipófisis - Cushing
Ver
Casos Quirúrgicos
Anastomosis Hipogloso Facial
Ver
Casos Quirúrgicos
Aneurisma A1 Derecho
Ver
Casos Quirúrgicos
Aneurisma Arteria Cerebral Medial Derecha
Ver
Casos Quirúrgicos
Aneurisma Basilar
Ver
Casos Quirúrgicos
Aneurisma Cerebral Medial
Ver
Casos Quirúrgicos
Aneurisma Comunicante Anterior
Ver
Casos Quirúrgicos
Aneurisma Comunicante Anterior
Ver
Casos Quirúrgicos
Aneurisma Silviano Calcificado
Ver
Casos Quirúrgicos
Aneurismas Múltiples
Ver
Casos Quirúrgicos
Cavernoma de Bulbo
Ver
Casos Quirúrgicos
Cavernoma de Bulbo - Abordaje Suboccipital Medial
Ver
Casos Quirúrgicos
Cavernoma de Quiasma
Ver
Casos Quirúrgicos
Cavernoma Mesencéfalo
Ver
Casos Quirúrgicos
Cavernoma Región Temporal Mesial (Sector Posterior) | Abordaje Supracerebeloso Transtentorial
Ver
Casos Quirúrgicos
Cavernoma Ventriculo Lateral
Ver
Casos Quirúrgicos
Craneofaringioma
Ver
Casos Quirúrgicos
Endarterectomía Carotídea
Ver
Casos Quirúrgicos
Ependimoma del IV Ventrículo - Abordaje Telovelotonsilar
Ver
Casos Quirúrgicos
Ependimoma Medular
Ver
Casos Quirúrgicos
Ependimoma Medular Cervical
Ver
Casos Quirúrgicos
Espasmo Hemifacial
Ver
Casos Quirúrgicos
Espasmo hemifacial | Descompresión Neurovascular
Ver
Casos Quirúrgicos
Glioma de Bulbo
Ver
Casos Quirúrgicos
Glioma Temporal Izquierdo
Ver
Casos Quirúrgicos
Hemangioblastoma de Cerebelo
Ver
Casos Quirúrgicos
Macroadenoma Hipofisario Endoscópico
Ver
Casos Quirúrgicos
Malfomación de Chiari
Ver
Casos Quirúrgicos
Malformacion Arteriovenosa Parietal
Ver
Casos Quirúrgicos
Malformacion de Chiari
Ver
Casos Quirúrgicos
MAV Opercular Frontal
Ver
Casos Quirúrgicos
Meningioma Clinoideo
Ver
Casos Quirúrgicos
Meningioma Clinoideo Anterior
Ver
Casos Quirúrgicos
Meningioma Clinoideo Anterior
Ver
Casos Quirúrgicos
Meningioma del Tuberculo Yugular
Ver
Casos Quirúrgicos
Meningioma Foramen Magno
Ver
Casos Quirúrgicos
Meningioma Petroclival - Abordaje Presigmoideo
Ver
Casos Quirúrgicos
Meningioma Petroclival - Abordaje Retrosigmoideo
Ver
Casos Quirúrgicos
Meningioma Petroso Anterior
Ver
Casos Quirúrgicos
Meningioma Petroso Posterior
Ver
Casos Quirúrgicos
Meningioma Tubérculo Selar | Abordaje Pterional
Ver
Casos Quirúrgicos
Metastasis Parabulbar
Ver
Casos Quirúrgicos
Neuralgia trigemino | Descompresión Naurovascular
Ver
Casos Quirúrgicos
Quiste Aracnoideo
Ver
Casos Quirúrgicos
Schwannoma Espinal Cervical
Ver
Casos Quirúrgicos
Schwannoma Fosa Pterigo-Maxilar
Ver
Casos Quirúrgicos
Schwannoma Trigeminal
Ver
Casos Quirúrgicos
Schwannoma Vestibular
Ver
Casos Quirúrgicos
Schwannoma Vestibular
Ver
Casos Quirúrgicos
Schwannoma Vestibular | Tamaño Grande
Ver
Casos Quirúrgicos
Schwannoma vestibular | Tamaño intermedio
Ver
Casos Quirúrgicos
Schwannoma vestibular | Tamaño pequeño
Ver
Casos Quirúrgicos
Shwanoma Vestibular T4B
Ver
Casos Quirúrgicos
Tercer Ventrículo Cisternostomía Endoscópica
Ver
Casos Quirúrgicos
Tumor Epidermoide
Ver
Casos Quirúrgicos
Tumor Epidermoide IV Ventrículo
Ver
Casos Quirúrgicos
Tumor Pineal
Ver
Con el apoyo de
© Todos los derechos reservados. Powered by
Vision Producciones
Volver al inicio